Fractura De Clavicula Real

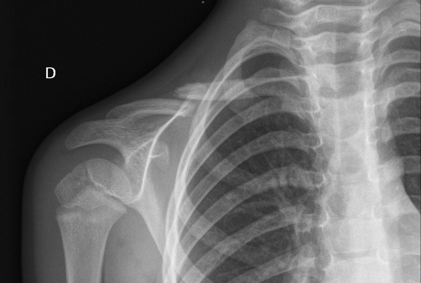
En la parte final que se conecta con el hombro o el tercio lateral se da en un 15 de los casos.
Fractura de clavicula real. Esta fractura puede afectar la zona proximal media o distal de la clavícula. Las fracturas de clavícula son un claro ejemplo de las múltiples fracturas de extremidad superior que pueden sufrir los deportistas. La clavícula conecta la parte superior del esternón con el omóplato. Algunas causas frecuentes de la fractura de clavícula son las caídas las lesiones deportivas y los traumatismos por accidentes de tránsito.
Una vez que se diagnostica la lesión el tratamiento para una rotura de clavícula puede depender del daño y del tipo de fractura que se haya sufrido. El defensa del real madri d álvaro odriozola se fracturó la clavícula izquierda durante el entrenamiento de este viernes según ha confirmado el club en un parte médico. El apoyador de los dallas cowboys leighton vander esch estará fuera de acción de seis a ocho semanas tras confirmarse que sufrió una fractura en su clavícula. Tipos de fractura de clavícula.
Suele ocurrir en deportes como el mountain bike fútbol rugby o básquetbol. A veces los bebés pueden. álvaro odriozola se retiró del entrenamiento del real madrid tras sufrir una caída. Se proporcionan primeros auxilios tratamiento y tiempo de recuperación para una fractura de clavícula.
La clavícula puede fracturarse en tres zonas diferentes. Así los especialistas recomiendan medicamentos para aliviar el dolor como antibióticos o una inyección antitetánica si hay cortes en la piel y colocar una férula o cabestrillo para que la clavícula no sufra más daños y restringir. El lateral derecho sufre una fractura en su clavícula izquierda y el cuadro blanco ha informado que queda. Algunos deportes como aquellos que implican el uso de manillar motociclismo motocross ciclismo se desarrollan a altas velocidades lo que provoca en caso de traumatismo fracturas con relativa frecuencia.
Obtenga información sobre los síntomas de fractura de clavícula clavícula en recién nacidos niños adolescentes adultos y ancianos como dolor y hematomas en el sitio de la fractura. Ocurre cuando el deportista cae y se golpea directamente el hombro en la zona anterior. La fractura de clavícula es una lesión frecuente en particular en niños y adultos jóvenes.